Smile Gallery

Actual Patient Results
Actual Patient Results
Actual Patient Results
Actual Patient Results
Actual Patient Results
Actual Patient Results

Bleaching

Before and after photos of Rhonda Baker taken for bleaching treatment. Patient presents with tetracycline-stained teeth.

Actual Patient Results

Crowns

Actual Patient Results

Crowns

Actual Patient Results

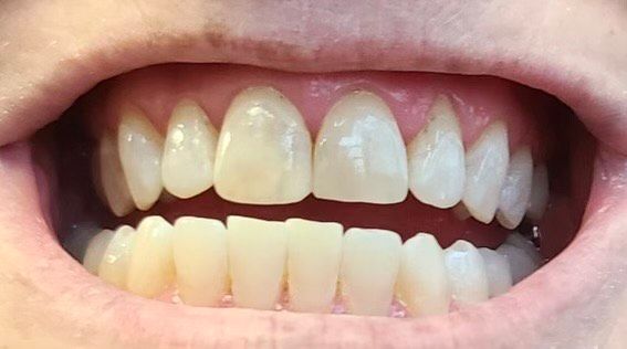
Veneers

Before and After pictures of our patient, Carlos, receiving his veneer. Carlos had a great smile, but was self conscious about the discoloration on his upper right canine. By placing a veneer, it was restored beautifully.

Actual Patient Results

Veneers

Actual Patient Results

Fillers with Restylane

Actual Patient Results

Fillers with Restylane

Actual Patient Results

Galderma training with Restylane & Dysport on cheeks and lips

Actual Patient Results